My undergraduate education was at Texas A & M, which has long had a friendly rivalry with the University of Texas.
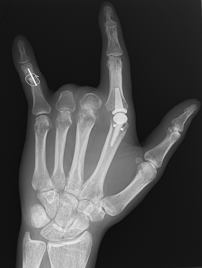
It was always our contention that the Hook'em Horns gesture was merely the sign of a careless carpenter ordering 4 beers.
I don't know if the person above is actually from Austin, but it's possible...

No comments:
Post a Comment